الرياض - هلال اليزيدي سعياً من الاتحاد الرياضي للجامعات السعودية في المساهمة في توعية المجتمع حول أهمية الوقاية من...
أعلنت وزارة الصحة، اليوم (السبت)، تسجيل 41 إصابة جديدة مؤكدة بفيروس كورونا المستجد (كوفيد 19)، ليرتفع إجمالي عدد الحالات في...
كشف استشاري علاج الأورام بالأشعة الدكتور هدير مصطفى مير، أن هناك بعض الأمور التي يجب أن تتبعها السيدات عند إجراء...
أكد استشاري جراحة التجميل بمستشفى رعاية الوطني الدكتور خالد الفرا أن عملية شفط الدهون هي عملية جراحية تستخدم أسلوب الشفط...
كشفت دراسة أمريكية صادرة عن جامعة واشنطن أن أدوية مضادات الاكتئاب الرخيصة قد تقلل من خطر الإصابة بمضاعفات فيروس كورونا...
أعلنت وزارة الصحة، اليوم (الأربعاء)، تسجيل 55 إصابة جديدة مؤكدة بفيروس كورونا المستجد (كوفيد 19)، ليرتفع إجمالي عدد الحالات في...
وجد باحثون أميركيون أن 3 مراهقين أصيبوا بأعراض نفسية نتيجة عدوى كورونا المستجد "كوفيد-19" التي طالتهم، ورغم أن هذه...
كشفت دراسة صادرة عن مستشفى الأطفال في لوس أنجلوس، أن السمنة تلعب دورا في زيادة خطر الإصابة بمضاعفات فيروس كورونا...
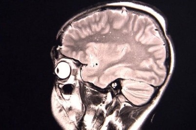
جدة _ ريفان هوساوي نجح فريق طبي من قسم جراحة العيون بمستشفى شرق جدة في إجراء جراحة لمقيمة محوله من...
أعلنت شركات جانسِن للمستحضرات الدوائية التابعة لجونسون آند جونسون، إحدى شركات الرعاية الصحية الرائدة في العالم، اليوم عن الانتهاء...
أعلنت وزارة الصحة، اليوم (الثلاثاء)، تسجيل 65 إصابة جديدة مؤكدة بفيروس كورونا المستجد (كوفيد 19)، ليرتفع إجمالي عدد الحالات في...
أوضح استشاري طب الأسرة والمجتمع الدكتور خالد عبيد باواكد؛ أن الـ 49 دراسة التي أجراها 4 باحثين ينتمون للمعهد...