|

"فريق طبي"…. ينقذ حياة مريض من الشلل بالدمام

الكاتب : الحدث 2024-09-28 11:08:49

الدمام - فيصل العوهلي 

تمكن الفريق الطبي بمجمع الدمام الطبي احد مكونات تجمع الشرقية الصحي من إنقاذ حياة مواطن ( 59 عاما ) من شلل نصفي وشيك بإستخدام تقنية القسطرة المتطورة دون الحاجة للتدخل الجراحي .

وتعود التفاصيل ان المريض وصل إلى قسم الطوارئ وكان يعاني من صداع شديد وشلل نصفي افقده القدرة على النطق والحركة في النصف الأيمن من الجسم .
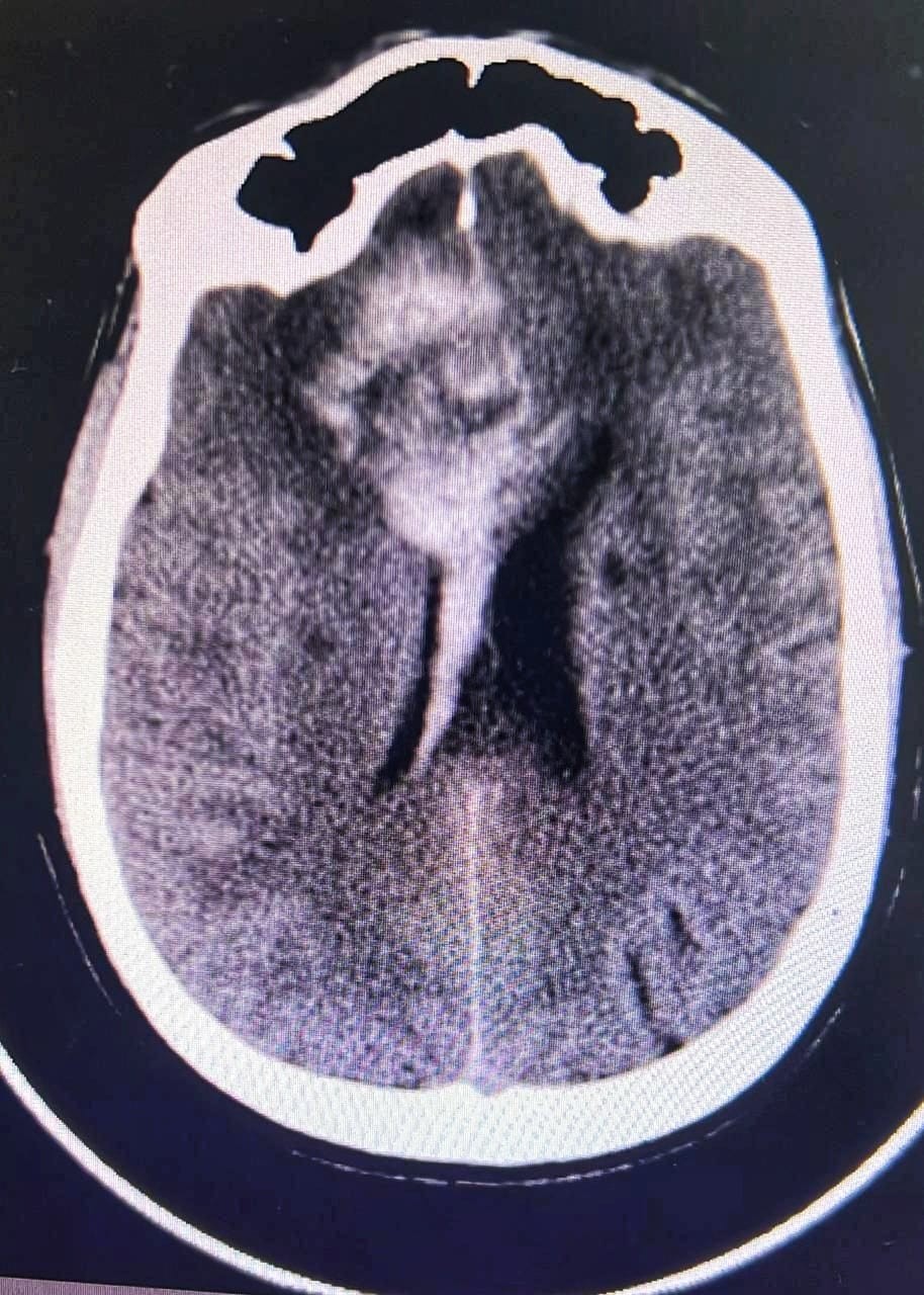
 وتم اجراء الفحوصات اللازمة له وتبين وجود تمدد في الأوعية الدموية في الفص الأيسر من الدماغ مسببا انفجار الشريان الوسطي الدماغي الأيسر  .

وأوضح الدكتور أنور الهاشم رئيس قسم جراحة المخ والأعصاب والعمود الفقري ان الفحوصات أظهرت تلفا في مركز الحركة في الفص الأيسر ونقصاً في التروية الدموية مهدداً بفقدان وظائف هذا الفص بشكل شبه دائم .

مشيرا انه وبعد تقييم الحالة قرر الفريق الطبي اللجوء إلى تقنية إغلاق النزيف بالقسطرة لإعادة فتح التروية الدموية  وذلك بواسطة فريق الأشعة التداخلية حيث تم الدخول عبر شريان الفخذ وتوجيه القسطرة إلى الأوعية المصابة باستخدام تقنية مزدوجة لاغلاق النزيف بدعامة معدنية .

مبينا نجاح العملية وان حالة المريض تحسنت بشكل كبير واستعادته  القدرة على الحركة والنطق بشكل كامل. مشيدا بالجهود الطبية المتميزة التي بذلها الفريق الطبي في انقاذ حياة المريض .

وتعد هذه من العمليات المتقدمة التي تميز بها قسم جراحة المخ والأعصاب بمجمع الدمام الطبي لوجود كوادر طبية مؤهلة وتجهيزات طبية متطورة اسهمت وبشكل كبير للحفاظ على حياة المرضى.