|

إيلون ماسك يعلن عن نجاح زرع شريحة دماغية في أول إنسان

الكاتب : الحدث 2024-01-30 11:45:41

 

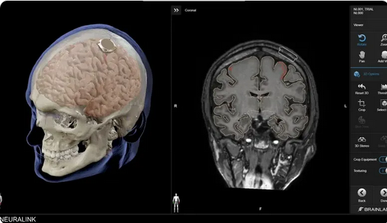
قال إيلون ماسك مؤسس شركة نيورالينك إن أول مريض من البشر خضع لزراعة شريحة دماغية من التي تنتجها الشركة الناشئة يوم الأحد وإنه يتعافى بشكل جيد.

وأضاف في منشور على منصة التواصل الاجتماعي (إكس) الاثنين “تظهر النتائج الأولية رصد زيادة الخلايا العصبية على نحو واعد”.

ويصف المعهد الوطني للصحة الخلايا العصبية بأنها خلايا تستخدم الإشارات الكهربائية والكيميائية لإرسال المعلومات عبر الدماغ وإلى الجسم.

وكانت إدارة الأغذية والعقاقير الأميركية قد منحت الشركة العام الماضي تصريحا لإجراء أول تجربة لها لاختبار زرع الشريحة في دماغ إنسان.

وقال ماسك في منشور منفصل على (إكس) إن شريحة نيورالينك سيُطلق عليه اسم (تيليباثي).

وأفادت نيورالينك على موقعها الإلكتروني بأن الشريحة تمكن الأشخاص المصابين بالشلل الرباعي من التحكم في الأجهزة بتفكيرهم.

واجهت نيورالينك دعوات للتدقيق فيما يتعلق ببروتوكولات السلامة الخاصة بها. وذكرت رويترز هذا الشهر أن السلطات المعنية غرمت الشركة لانتهاكها قواعد وزارة النقل الأميركية فيما يتعلق بنقل المواد الخطرة.

وقُدرت قيمة الشركة بنحو خمسة مليارات دولار في يونيو الماضي وفقا لـ “سكاي نيوز عربية”.

وكان أربعة مشرعين طلبوا في أواخر نوفمبر من لجنة الأوراق المالية والبورصة الأميركية التحقيق فيما إذا كان ماسك قد ضلل المستثمرين بشأن سلامة تقنيتها بعد أن أظهرت السجلات البيطرية مشكلات في عمليات زرع الشريحة في أدمغة القرود منها الشلل وتورم الدماغ.