مكة المكرمة - رائد الذبياني قدم المدير التنفيذي لمدينة الملك عبدالله الطبية درعاً تكريمياً لـ أمانة العاصمة المقدسة ، وذلك...
الطائف - هلال اليزيدي أوضحت إحصائية لمجمع إرادة والصحة النفسية بالطائف أن عدد المراجعين للعيادات الخارجية بلغ 17475 خلال...
أوضحت وزارة الصحة كيفية الاستفادة من تطبيق “صحتي” في تقديم الخدمات الصحية للأطفال من أجل حياة صحية وسليمة. وشددت...
تستعد المملكة لاستقبال نحو مليون حاج هذا الموسم خلال شهر يوليو المقبل، وقد أعلنت أن جميع الفحوصات الطبية والمخبرية...
عقدت لجنة طوارئ منظمة الصحة العالمية في جنيف اليوم اجتماعًا لمناقشة وتقييم “جدري القرود”, ومدى الحاجة لإصدار تحذير بشأنه...
أعلنت وزارة الصحة، اليوم الخميس 23 يونيو 2022، تسجيل 1002 حالة إصابة جديدة بفيروس كورونا الجديد (كوفيد-19)، ليصبح الإجمالي...
رأست الهيئة العامة للغذاء والدواء الاجتماع الأول لـ”اللجنة الفنية العربية لمواصفات الأجهزة والمستلزمات الطبية”، إذ تتولى “الغذاء والدواء” رئاسة وأمانة...
جدة - ريفان هوساوي قام وكيل وزارة الصحة السعودية رئيس اللجان التحضيرية للحج الدكتور هاني جوخدار صباح اليوم الخميس...
يسعى المصابون بداء السكري إلى تنظيم نسبة السكر في الدم، وهناك العديد من العوامل التي تتحكم في نسبته وبينها،...
أعلن الطبيب الروسي أنطون رافدين، أخصائي طب الأطفال، أنه من المحتمل أن يصبح الأطفال الناقل الرئيسي لجدري القردة.ويشير الطبيب...
أعلنت كوريا الجنوبية يوم الأربعاء عن أول إصابة مؤكدة بفيروس جدري القردة وتعهدت بتعزيز أنظمة المراقبة والاستجابة ورفعت مستوى...
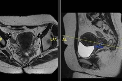
الرياض - منيفة الشمري تمكن فريق طبي في مدينة الملك فهد الطبية إحدى مكونات تجمع الرياض الصحي الثاني من...