جدة _ عبدالرحمن المحمادي تمكن فريق طبي في مستشفى شرق جدة من إنقاذ ذراع مقيم يبلغ من العمر٤٦ سنة تعرض...
يحدث فشل القلب بعد تلف طويل الأمد للعضو، وغالبًا ما يكون تتويجًا لحالات مختلفة مثل أمراض القلب وارتفاع ضغط...
حائل - عبدالعزيز المعارك نفذت "صحة حائل ممثلةً في إدارة الصحة العامة عدد (648 ) جولة خلال النصف السنوي من...
تمكّن فريق طبي متخصص في جراحة المفاصل والعظام في مستشفى الرس العام، من إنهاء معاناة عشرينية كانت تشكو من...
أعلنت منظمة الصحة العالمية ارتفاع أعداد الإصابات الجديدة بفيروس كورونا (كوفيد-19)، والتي بلغت خلال الشهر الماضي 1,5 مليون إصابة،...
حذّرت منظمة الصحة العالمية، من ظهور إحدى سلالات كوفيد-19 شديدة التحور وتحمل اسم (بي.إيه.2.86) في عدة دول، شملت سويسرا...
تمكّن باحثون في كلية الطب بجامعة كاليفورنيا، من الكشف عن دواء واعد جديد يعمل على الحد من التليف الكبدى...
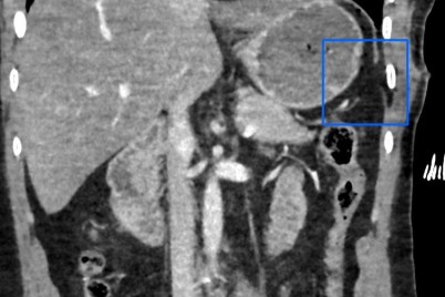
تمكن مستشفى وادي الدواسر العام عضو تجمع الرياض الصحي الأول من إجراء عملية جراحية طارئة لوافد يبلغ من العمر...
الحدث -عبدالله الدرعان تمكن مستشفى وادي الدواسر العام عضو تجمع الرياض الصحي الأول من إجراء عملية جراحية طارئة لوافد يبلغ...
جدة_عبدالرحمن المحمادي تمكن فريق طبي في مستشفى رابغ من إنهاء معاناة فتاة حيث كانت تعاني ألم حاد في الحوض ناتج...
جدة_عبدالرحمن المحمادي تمكن فريق طبي من قسم جراحة المخ والأعصاب في مستشفى الملك فهد بجدة من إجراء جراحة معقدة...
جدة - عبدالرحمن المحمادي بفضل الله تمكن فريق طبي في مستشفى الملك عبدالعزيز بجدة من إنقاذ عين طفل في العاشرة...