أعلنت وزارة الصحة، اليوم الخميس، تسجيل (43) إصابة جديدة بفايروس كورونا المستجد المسبب لمرض «كوفيد-19»، فيما رصدت تعافي (48)...
أعلنت وزارة الصحة، اليوم الخميس، عن استقبال طلبات التوظيف (رجال / نساء) للوظائف الصحية ببعض المناطق، لحملة البكالوريوس فأعلى...
الدمام – فيصل العوهلي بهدف التوعية بأهمية وفوائد ممارسة رياضة المشي للحفاظ على الصحة واتباع اسلوب حياة صحية، تنطلق عصر...
ينظم مجلس الضمان الصحي “ملتقى مجلس الضمان الصحي للتميز” في يومي 11 و 12 ديسمبر في فندق فورسيزون بالرياض...
حائل- عبدالعزيز المعارك نفذت المديرية العامة للشؤون الصحية بحائل ممثلةً في إدارة الالتزام خلال شهر أكتوبر من هذا العام...
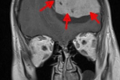
الرياض - هدى الخطيب نجح فريق جراحة المخ والأعصاب في مستشفى الملك سلمان من استئصال ورم في الدماغ لسيدة ثلاثينية...
نبه علماء أوبئة، مؤخرا، إلى أن المتحور المقبل من فيروس قد يكون أكثر شراسة، في تحول من شأنه أن...
الدمام - فيصل العوهلي نظم القسم النفسي بدار الحضانة الاجتماعية بالدمام برنامج ( الصحة النفسية والرفاهية للجميع ) لفتياته ومنسوباته...
الطائف - هلال اليزيدي نفذ الهلال الأحمر بالطائف مع الفريق التطوعي فعاليات اليوم العالمي للطفل في مول قلب الطائف...
أعلنت وزارة الصحة، اليوم الثلاثاء، تسجيل 52 حالة إصابة جديدة بفيروس كورونا، وشفاء 68 حالة، ووفاة حالتين. وقالت وزارة...
أعلنت وزارة الصحة، اليوم الاثنين 28 نوفمبر 2022، تسجيل 61 حالة إصابة جديدة بفيروس كورونا الجديد (كوفيد-19)، ليصبح الإجمالي...
حائل - عبدالعزيز المعارك أصدرت المديرية العامة للشؤون الصحية في منطقة حائل ممثلةً في إدارة تنمية الاستثمار للقطاع الصحي الخاص؛...