جراحة ناجحة لاستئصال ورم سرطاني من كلْية مريضة بالطائف
الطائف - هلال اليزيدي
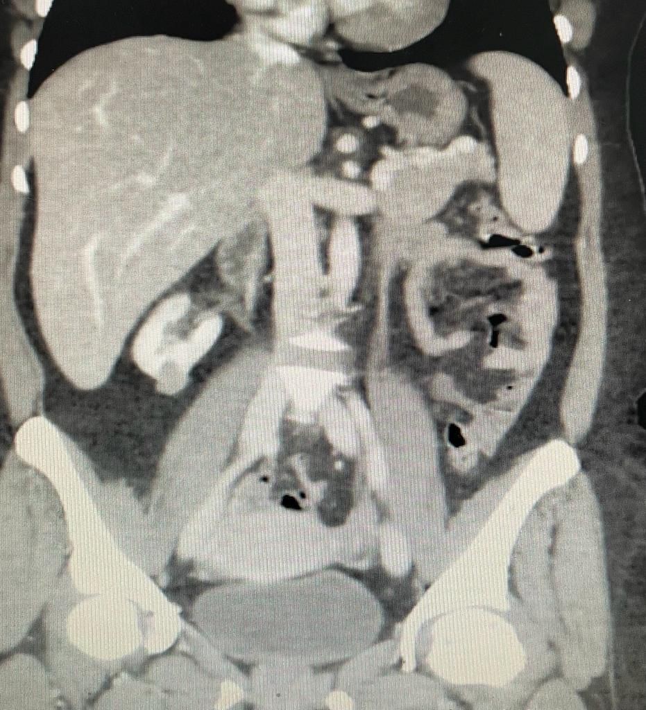
نجح فريق طبي بمجمع الملك فيصل الطبي بالطائف ؛ في إنهاء معاناة مواطنة تشكو من آلام متكررة في البطن.
وتم عمل الفحوصات والأشعات الأولية، واتضح وجود ورم في الكلية اليمنى للمريضة، فتم إجراء عملية بالمنظار تم خلالها استئصال الورم كاملاً مع استئصال جزء من الكلية ( الحد الآمن ) للورم وإعادة اصلاح الكلية ، في إجراء طبي ناجح، وبعد تقديم الرعاية الصحية اللازمة للمريضة تماثلت للشفاء وهي بصحة جيدة ولله الحمد.