|

فريق جراحي بـ "مجمع الملك فيصل بالطائف" ينهي معاناة سيدة مع "الصداع المزمن"

الكاتب : الحدث 2021-11-15 08:28:26

الطائف - هلال اليزيدي 

 

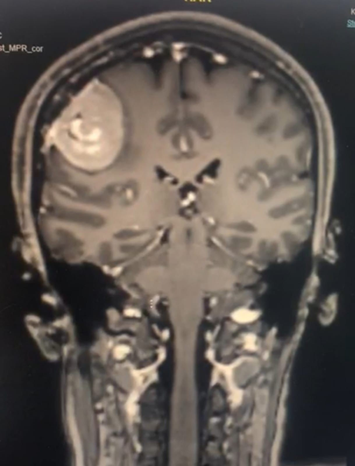
أنهى فريق من جراحة المخ والاعصاب بمجمع الملك فيصل بالطائف معاناة سيدة من "صداع مزمن" استمر لمدة سنتين. 

وبدأت القصة بوصول السيدة إلى العيادة المتخصصة، وهي تعاني من صداع عنيف منذ أكثر من عامين، وبإجراءات الفحوصات اللازمة ,اكتشف أن لديها "ورم سحائي في الفص الجداري ",سبب ضغطا على "الدماغ".وقرر الفريق إجراء عملية جراحية دقيقة ,تم من خلالها استئصال الورم بنجاح تام, وعادت السيدة إلى ممارسة حياتها الطبيعية بعيدا عن الصداع المزمن.


تجدر الإشارة إلى أن المجمع يُعد الأكبر من نوعه في الطائف؛ حيث يضم 800 سرير، ومجهز بأحدث التجهيزات الطبية والكوادر المؤهلة المتخصصة في كل المجالات.